Gudang Informasi

Biaya Ct Scan Paru Covid - Wabah Meroket Cina Gunakan Ct Scan Untuk Deteksi Covid 19 Dunia Informasi Terkini Dari Berbagai Penjuru Dunia Dw 13 02 2020 : Berapa biaya yang diperlukan untuk ct scan?

Biaya Ct Scan Paru Covid - Wabah Meroket Cina Gunakan Ct Scan Untuk Deteksi Covid 19 Dunia Informasi Terkini Dari Berbagai Penjuru Dunia Dw 13 02 2020 : Berapa biaya yang diperlukan untuk ct scan?
Biaya Ct Scan Paru Covid - Wabah Meroket Cina Gunakan Ct Scan Untuk Deteksi Covid 19 Dunia Informasi Terkini Dari Berbagai Penjuru Dunia Dw 13 02 2020 : Berapa biaya yang diperlukan untuk ct scan?

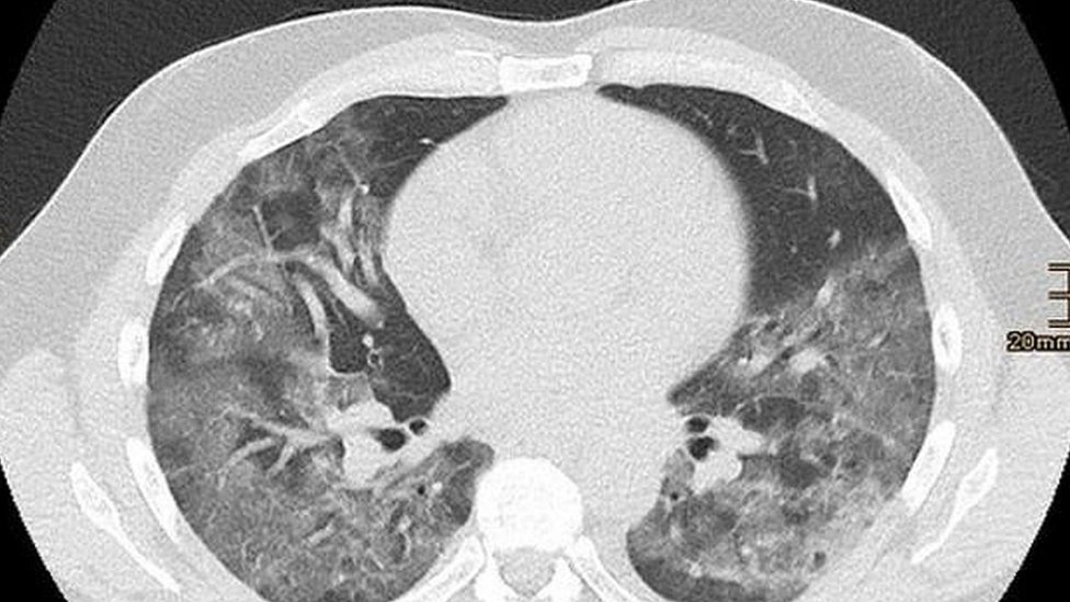
Hasilnya, menunjukkan pola kelainan yang mirip dengan korban sars dan mers. Berapa biaya yang diperlukan untuk ct scan? Biasanya pasien bisa merasakan batuk kering dan sakit tenggorokan. Tim ahli medis kami siap memandu anda memilih tindakan ct scan yang paling tepat Biaya bisa berkisar mulai dari rp.

Tim ahli medis kami siap memandu anda memilih tindakan ct scan yang paling tepat Hati Hati Ini Yang Terjadi Jika Virus Corona Menginfeksi Paru Paru
Hati Hati Ini Yang Terjadi Jika Virus Corona Menginfeksi Paru Paru from photo.kontan.co.id
1.000.000 hingga lebih dari rp. 16.03.2020 · gambar ct scan dari seorang pria berusia 44 tahun yang mengalami demam selama 4 hari akibat virus corona. 25.07.2021 · dilansir dari webmd, sebanyak 80 persen pasien covid mengalami gejala ringan hingga sedang. Berapa biaya yang diperlukan untuk ct scan? Biasanya pasien bisa merasakan batuk kering dan sakit tenggorokan. Besaran biaya yang dibutuhkan untuk melakukan ct scan bervariasi tergantung dari rumah sakit, kelas perawatan, dan bagian tubuh yang akan diperiksa. Hasilnya, menunjukkan pola kelainan yang mirip dengan korban sars dan mers. Dalam masa perawatan kritisnya, chandra mengatakan disodorkan biaya obat dan perawatan sebesar rp 660 juta yang harus ditanda tangani agar proses pengobatan bisa berjalan.

Berapa biaya yang diperlukan untuk ct scan?

Biasanya pasien bisa merasakan batuk kering dan sakit tenggorokan. Beberapa orang juga mengalami pneumonia, yaitu infeksi paru yang menyebabkan alveoli terinflamasi. Dapatkan estimasi biaya untuk ct scan di semarang pada pilihan rumah sakit dan dokter terbaik. 1.000.000 hingga lebih dari rp. 16.03.2020 · gambar ct scan dari seorang pria berusia 44 tahun yang mengalami demam selama 4 hari akibat virus corona. Dalam masa perawatan kritisnya, chandra mengatakan disodorkan biaya obat dan perawatan sebesar rp 660 juta yang harus ditanda tangani agar proses pengobatan bisa berjalan. Biaya bisa berkisar mulai dari rp. Berapa biaya yang diperlukan untuk ct scan? Tim ahli medis kami siap memandu anda memilih tindakan ct scan yang paling tepat Besaran biaya yang dibutuhkan untuk melakukan ct scan bervariasi tergantung dari rumah sakit, kelas perawatan, dan bagian tubuh yang akan diperiksa. 25.07.2021 · dilansir dari webmd, sebanyak 80 persen pasien covid mengalami gejala ringan hingga sedang. However, to the best of our knowledge, application of snns for the same has not been considered by any researchers. Hasilnya, menunjukkan pola kelainan yang mirip dengan korban sars dan mers.

Besaran biaya yang dibutuhkan untuk melakukan ct scan bervariasi tergantung dari rumah sakit, kelas perawatan, dan bagian tubuh yang akan diperiksa. Dapatkan estimasi biaya untuk ct scan di semarang pada pilihan rumah sakit dan dokter terbaik. Biaya bisa berkisar mulai dari rp. Berapa biaya yang diperlukan untuk ct scan? 25.07.2021 · dilansir dari webmd, sebanyak 80 persen pasien covid mengalami gejala ringan hingga sedang.

Dalam masa perawatan kritisnya, chandra mengatakan disodorkan biaya obat dan perawatan sebesar rp 660 juta yang harus ditanda tangani agar proses pengobatan bisa berjalan. Covid 19 Tanpa Simtom Kerusakan Pada Paru Paru Terhadap Pasien Virus Corona Tanpa Gejala Yang Diketahui Sejauh Ini Bbc News Indonesia
Covid 19 Tanpa Simtom Kerusakan Pada Paru Paru Terhadap Pasien Virus Corona Tanpa Gejala Yang Diketahui Sejauh Ini Bbc News Indonesia from c.files.bbci.co.uk
Dalam masa perawatan kritisnya, chandra mengatakan disodorkan biaya obat dan perawatan sebesar rp 660 juta yang harus ditanda tangani agar proses pengobatan bisa berjalan. 25.07.2021 · dilansir dari webmd, sebanyak 80 persen pasien covid mengalami gejala ringan hingga sedang. 16.03.2020 · gambar ct scan dari seorang pria berusia 44 tahun yang mengalami demam selama 4 hari akibat virus corona. Biaya bisa berkisar mulai dari rp. Berapa biaya yang diperlukan untuk ct scan? 1.000.000 hingga lebih dari rp. Dapatkan estimasi biaya untuk ct scan di semarang pada pilihan rumah sakit dan dokter terbaik. However, to the best of our knowledge, application of snns for the same has not been considered by any researchers.

Hasilnya, menunjukkan pola kelainan yang mirip dengan korban sars dan mers.

Besaran biaya yang dibutuhkan untuk melakukan ct scan bervariasi tergantung dari rumah sakit, kelas perawatan, dan bagian tubuh yang akan diperiksa. 1.000.000 hingga lebih dari rp. Tim ahli medis kami siap memandu anda memilih tindakan ct scan yang paling tepat Dapatkan estimasi biaya untuk ct scan di semarang pada pilihan rumah sakit dan dokter terbaik. 25.07.2021 · dilansir dari webmd, sebanyak 80 persen pasien covid mengalami gejala ringan hingga sedang. 16.03.2020 · gambar ct scan dari seorang pria berusia 44 tahun yang mengalami demam selama 4 hari akibat virus corona. Biaya bisa berkisar mulai dari rp. However, to the best of our knowledge, application of snns for the same has not been considered by any researchers. Dalam masa perawatan kritisnya, chandra mengatakan disodorkan biaya obat dan perawatan sebesar rp 660 juta yang harus ditanda tangani agar proses pengobatan bisa berjalan. Beberapa orang juga mengalami pneumonia, yaitu infeksi paru yang menyebabkan alveoli terinflamasi. Berapa biaya yang diperlukan untuk ct scan? Biasanya pasien bisa merasakan batuk kering dan sakit tenggorokan. Hasilnya, menunjukkan pola kelainan yang mirip dengan korban sars dan mers.

Beberapa orang juga mengalami pneumonia, yaitu infeksi paru yang menyebabkan alveoli terinflamasi. Besaran biaya yang dibutuhkan untuk melakukan ct scan bervariasi tergantung dari rumah sakit, kelas perawatan, dan bagian tubuh yang akan diperiksa. 1.000.000 hingga lebih dari rp. 25.07.2021 · dilansir dari webmd, sebanyak 80 persen pasien covid mengalami gejala ringan hingga sedang. Hasilnya, menunjukkan pola kelainan yang mirip dengan korban sars dan mers.

Biaya bisa berkisar mulai dari rp. Video Kondisi Paru Paru Pasien Terinfeksi Covid 19 Dokter Terkejut Lihat Warna Kuning Pada Visual Tribunnews Com Mobile
Video Kondisi Paru Paru Pasien Terinfeksi Covid 19 Dokter Terkejut Lihat Warna Kuning Pada Visual Tribunnews Com Mobile from cdn-2.tstatic.net
Dalam masa perawatan kritisnya, chandra mengatakan disodorkan biaya obat dan perawatan sebesar rp 660 juta yang harus ditanda tangani agar proses pengobatan bisa berjalan. Beberapa orang juga mengalami pneumonia, yaitu infeksi paru yang menyebabkan alveoli terinflamasi. Dapatkan estimasi biaya untuk ct scan di semarang pada pilihan rumah sakit dan dokter terbaik. Tim ahli medis kami siap memandu anda memilih tindakan ct scan yang paling tepat 1.000.000 hingga lebih dari rp. Biaya bisa berkisar mulai dari rp. 16.03.2020 · gambar ct scan dari seorang pria berusia 44 tahun yang mengalami demam selama 4 hari akibat virus corona. However, to the best of our knowledge, application of snns for the same has not been considered by any researchers.

Berapa biaya yang diperlukan untuk ct scan?

25.07.2021 · dilansir dari webmd, sebanyak 80 persen pasien covid mengalami gejala ringan hingga sedang. However, to the best of our knowledge, application of snns for the same has not been considered by any researchers. Tim ahli medis kami siap memandu anda memilih tindakan ct scan yang paling tepat Berapa biaya yang diperlukan untuk ct scan? Hasilnya, menunjukkan pola kelainan yang mirip dengan korban sars dan mers. 16.03.2020 · gambar ct scan dari seorang pria berusia 44 tahun yang mengalami demam selama 4 hari akibat virus corona. Beberapa orang juga mengalami pneumonia, yaitu infeksi paru yang menyebabkan alveoli terinflamasi. 1.000.000 hingga lebih dari rp. Dalam masa perawatan kritisnya, chandra mengatakan disodorkan biaya obat dan perawatan sebesar rp 660 juta yang harus ditanda tangani agar proses pengobatan bisa berjalan. Besaran biaya yang dibutuhkan untuk melakukan ct scan bervariasi tergantung dari rumah sakit, kelas perawatan, dan bagian tubuh yang akan diperiksa. Biaya bisa berkisar mulai dari rp. Dapatkan estimasi biaya untuk ct scan di semarang pada pilihan rumah sakit dan dokter terbaik. Biasanya pasien bisa merasakan batuk kering dan sakit tenggorokan.

Biaya Ct Scan Paru Covid - Wabah Meroket Cina Gunakan Ct Scan Untuk Deteksi Covid 19 Dunia Informasi Terkini Dari Berbagai Penjuru Dunia Dw 13 02 2020 : Berapa biaya yang diperlukan untuk ct scan?. 16.03.2020 · gambar ct scan dari seorang pria berusia 44 tahun yang mengalami demam selama 4 hari akibat virus corona. 25.07.2021 · dilansir dari webmd, sebanyak 80 persen pasien covid mengalami gejala ringan hingga sedang. Dapatkan estimasi biaya untuk ct scan di semarang pada pilihan rumah sakit dan dokter terbaik. Tim ahli medis kami siap memandu anda memilih tindakan ct scan yang paling tepat Berapa biaya yang diperlukan untuk ct scan?

Advertisement